Im heutigen Beitrag möchte ich euch kurz und verständlich in die Welt der Neurophysiologie einführen. Als Hauptquelle der therapeutischen Maßnahmen bei erhöhtem Hirndruck (Intracranial Pressure ~ ICP) sei die DGN LL genannt, ebenso wichtig sind die anästhesiologisch-intensivmedizinischen Fachbücher.
Physiologie
Der normale ICP beträgt < 15 mmHg. Gemäß der Monro-Kellie-Doktrin wird er durch drei Komponenten beeinflusst (Gehirnmasse ~ 80%, Liquor ~ 10%, Blut ~ 10%). Nimmt mind. eine Komponente zu (z.B. Hirnödem durch Meningitis oder Hirntumor, Liquorresorptionsstörung, Hirnblutung) steigt der ICP und andere Komponenten müssen kompensatorisch abnehmen (z.B. führt Blutansammlung zu Hirnkompression), da der knöcherne Schädel ein stabiles Kompartment darstellt (ausgenommen Kinder im 1. LJ). Ein ICP > 20 mmHg für > 20 Minuten ist als intrakranielle Hypertonie (ICH) definiert und akut schädlich. Die Symptomatik beinhält neben unspezifischen Zeichen wie Schwindel, Übelkeit, Gangstörungen oder Harnabgang auch schwerwiegende Auffälligkeiten wie Neuroausfälle, Krampfanfälle und Blutdruckentgleisungen (bis hin zum Cushing-Syndrom mit Atemstörungen, Bradykardie und Hypertonie durch Kompression der Medulla Oblongata). Letztlich tritt der Tod ein.
Ein paar Zahlen noch: der zerebrale Blutfluss (CBF) beträgt 50 ml/100g/min, die zerebrale O2-Verbrauchsrate (CMRO2) 3,5 ml/100g/min. Narkosemedikamente führen idR zur Reduktion von beiden Parametern und wirken dadurch neuroprotektiv. Die Gefäße sind eng autoreguliert und reagieren sensibel auf CO2 (Hyperkapnie = Vasodilatation, Hypokapnie = Vasokonstriktion) und O2 (Hypoxämie = Vasodilatation).
Quantifizierung
Die Messung erfolgt in der Praxis primär mittels extraventrikulärer Drainage (EVD), d.h. der Neurochirurg führt über ein Bohrloch einen Katheter in einen der lateralen Ventrikel ein. So ergibt sich die typische ICP-Kurve, die wir auf den Monitoren der ICU beobachten können. Aus dem Wert können wir den zerebralen Perfusionsdruck (CPP = MAP – ICP) errechnen, da bei intrazerebralen Pathologien die Autoregulation aufgehoben ist. Beträgt der ICP z.B. 25 mmHg, so müsste der MAP mind. 85 mmHg betragen, damit ein physiologischer CPP von 60-70 mmHg zustande kommt und das Gehirn keine weitere Ischämie erleidet. Siehe hier auch unseren Hämodynamikbeitrag.

P1 stellt die Perkussionswelle (systolische Blutdruckwelle), P2 die Rebound- oder Tidalwelle (entspricht Compliance des Hirngewebes) und P3 den Dicrotic Notch (Aortenklappenschluss) dar. Bei einem ICP-Anstieg übersteigt die Amplitude von P2 jene von P1 bzw. kommt es zu Verschmelzung von P2 und P3.
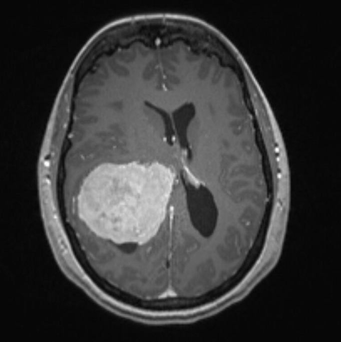
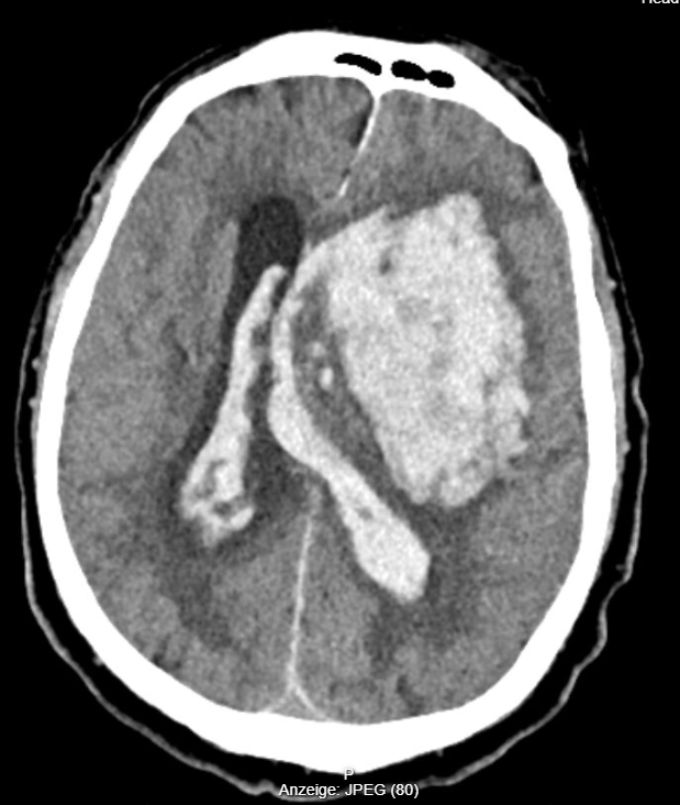
Sollte ein CT erfolgt sein (z.B. Schockraum bei schweren SHT, siehe hier), so können ICP-Anstiege wie folgt darstellbar sein: Herniation, Ventrikelkompression, Mittellinienshift, Verstreichen der Sulci, Verlust der Grau-Weiß-Differenzierung (indirekter Hinweis auf Hirnödem). Hier könnt ihr ein paar Originalbilder aus meiner Tätigkeit begutachten. Beachtet die Kompressions- und Raumforderungsphänomene.




Wie ihr wisst sind wir Ultraschallfanatiker und ja, damit lässt sich ein ICP-Anstieg auch diagnostizieren. Die Rede ist von der ultraschallgestützten Ausmessung des Nervenscheidendurchmessers des N. Opticus (ONSD). Die Idee dahinter ist relativ simpel. Der ONSD reagiert in Echtzeit auf Veränderungen des ICP, d.h. bei Erhöhung kommt es reflektorisch zu einem Anschwellen des ONSD durch Liqourrückstau. Zwar kann aus der Zunahme des ONSD kaum auf die Höhe des ICP rückgeschlossen werden (wiewohl eine Berechnung laut der Formel möglich ist: ICP in mmHg = 5 x ONSD in mm – 14); Fakt ist aber, dass eine Zunahme des ONSD mit einem pathologischen ICP > 20 mmHg korreliert. Diese Verlässlichkeit konnte in mehreren Arbeiten bereits bestätigt werden (Link, Link, Link, Link, Link, Link, Link). Wie führt man den Ultraschall am besten durch? Ich persönlich decke beide geschlossenen Augen mit einem durchsichtigen Pflaster vorsichtig ab und trage dann reichlich Ultraschallgel auf. Nach Aufsetzen des Linearschallkopfes in Sagittal- und Transversalebene erscheint der Bulbus als große runde echofreie Struktur. Dahinter lässt sich der N. opticus samt Nervenscheide darstellen. In einer Studie konnte festgestellt werden, dass die Messung des ONSD bestenfalls 3 mm hinter dem Bulbus erfolgt. Eine andere Studie wiederum empfiehlt die Messung 8-10 mm hinter dem Bulbus, da hier die Streuung der Normwerte niedriger ist. Der Cut-Off-Wert, ab dem mit einem pathologischen ICP zu rechnen ist, wird in dieser Arbeit mit 5,8 mm beziffert, während in einer anderen Arbeit bereits ab 5 mm mit einem erhöhten ICP zu rechnen ist. Somit kann festgehalten werden, dass ein ONSD bis 5 mm als normal gilt, 5-6 mm als auffällig und ab 6 mm definitiv als pathologisch. Ein entsprechendes Bild findet ihr hier.

Auch eine transkranielle Flussmessung der Hirnarterien (z.B. A cerebri media) kann durch Verschwinden des diastolischen Flussprofils auf eine Hirndruckerhöhung hinweisen.
Therapie

Die wichtigste Maßnahme ist die Identifikation der Ursache und Behebung eben dieser. Ist z.B. ein Tumor (z.B. Meningeom) ursächlich, so muss dieser reseziert werden. Als allg. therapeutische Maßnahmen kommen für uns je nach Situation in Frage:
- Oberkörperhochlagerung 30°, Kopf gerade (Jugularvenen durchgängig)
- abhängig von GCS: Narkose (ICP ↓, CBF ↓, CMRO2 ↓, Neuroprotektion)
- Osmotherapie (NaCl 10%, Mannitol 20% → Reduktion Hirnödem)
- Trometamol (TRIS-Puffer ~ puffert CO2 → zerebrale Vasokonstriktion) → ev. schädlich laut DGN 2023
- Dexamethason (nur bei Tumor → Reduktion Hirnödem)
- EVD (Messung ICP → MAP-Ziele, Liquordrainage)
- Burst Suppression mit Barbiturat (falls verfügbar → CBF ↓ und CMRO2 ↓)
- Trepanation (dekompressive Kraniektomie zur Hämatomausräumung, Entlastung, …)
- Hyperventilation auf etCO2 25 mmHg (~ PaCO2 30 mmHg, Link) als Ultima Ratio (z.B. präklinisch, OP-Fahrt), siehe Beatmung hier
Im Übrigen gibt es sogar einen Fallbericht, in dem ein i.o.-Zugang zur Akutentlastung einer Hirnblutung eingesetzt wurde. Mehr dazu im Beitrag.
Schreibe einen Kommentar